در داخل دندان بافتهای متفاوتی حضور دارند که وظیفه حفظ سلامتی عاج سازی و انتقال احساسهای متعدد اعم از سرما گرما و … را ممکن میسازند و در حقیقت این مجموعه مایه زندگی دندان است . این مجموعه که حاوی عصب عروق خونی عروق لنفاوی و سلولها و …. است را در اصطلاح علمی پالپ می نامند پس در وهله اول بایستی گفت که واژه عصب واژه درستی نیست وچرا که درمان بر روی تمامی این اجزا صورت می گیرد از سوی دیگر در پروسه درمانی نه عمل کشیدن رخ می دهد به معنای اعمال نیرویی به سمت بیرون مثل طناب کشی و…. و نه کشتن پالپ، بلکه هدف خارج ساختن بافت ملتهب یاعفونی است. پس کلمه استانداردبرای این پروسه درمان ریشه است داخل دندان تنها عصب نیستند .
ایمپلنت دندانی چیست؟
پروتز دندانی مجموعهای از دندانهای مصنوعی است که به کسانی که چند دندان یا همه دندانهای خود را از دست دادهاند کمک میکند. تفاوت اصلی بین پروتز و ایمپلنت این است که پروتز به دندانهای مجاور یا لثه متصل میشود، در حالی که ایمپلنت درون استخوان فک قرار داده میشود و مانند دندان طبیعی عمل میکند.
ایمپلنت دندان
یا
پروتز دندان
عوامل تعیین کننده
وضعیت استخوان فک
تعداد دندانهای از دست رفته
بودجه
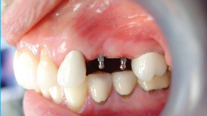
ایمپلنت دندان یک روش جایگزینی دایمی برای دندانهای گمشده است که به وسیلهی یک پیچ (یا پین) فلزی یا تیتانیوم به استخوان فک یا فکین متصل میشود. این فرآیند به بیماران کمک میکند تا دندان گمشده خود را با یک دندان مصنوعی جایگزین کنند، و به آنها امکان طعمدهی، گامزدن و گفتگو با طبیعیترین حالت ممکن را میدهد.
ایمپلنت دندان
مراحل اجرا
مزایا و معایب آن
مراحل اجرای ایمپلنت دندان
1-مشاوره
در این مرحله، دندانپزشک شما اطلاعاتی از جمله تاریخچه پزشکی و دندانی شما را جمعآوری کرده و مشکلات ممکن در اجرای ایمپلنت را بررسی میکند. بر اساس اطلاعات به دست آمده، یک برنامه درمانی سفارش داده میشود.
2- جراحی:
این روش توسط خود فرد با رعایت دستورالعمل دندانپزشک اجرا میشود. در این روش، ابتدا دندانپزشک ژل سفید کننده را به فرد تحویل میدهد و سپس چارچوب پلاستیک شخص ساز را برای بیمار تهیه و موارد لازم را به فرد آموزش می دهد.
3- زمان بهبودی
پس از جراحی، استخوان بهبودی مییابد و به پیشی ایمپلنت چسبیده میشود. این فرآیند به مدت چند ماه طول میکشد و معمولاً به عنوان زمان بهبودی یا انتگراسیون نامیده میشود.
4- تعویض با دندان مصنوعی:
پس از زمان بهبودی، یک ابزار خاص به پیشی ایمپلنت اتصال مییابد. سپس دندان مصنوعی یا پله (آباتمنت) بر روی این ابزار قرار میگیرد و به ایمپلنت متصل میشود.
مزایا
1- پایداری
ایمپلنتها به دلیل اتصال محکم با استخوان، پایدارتر و مستحکمتر از روشهای دیگر جایگزینی هستند.
2- طبیعی ترین حس:
ایمپلنتها به بیماران امکان تجربه حس طبیعی دندان را میدهند.
3- پیشگیری از تغییرات استخوان
استفاده از ایمپلنت میتواند از تغییرات ناشی از از دست رفتن دندان، از جمله جذب استخوان، جلوگیری کند.
معایب
1- هزینه
ایمپلنتها هزینهی بالایی دارند و ممکن است از نظر مالی متناسب با همه افراد قابل دسترس نباشند.
2- زمان درمان
این فرآیند چندین مرحله دارد و زمان بر میباشد.
بلیچینگ دندان یکی از روشهای حرفهای سفید کردن دندانها است که با استفاده از مواد شیمیایی خاص، رنگدانههای ناخواسته را از سطح دندانها حذف میکند. بلیچینگ دندان میتواند باعث روشن شدن رنگ دندانها به مقدار چندین درجه شود و زیبایی لبخند شما را افزایش دهد. بلیچینگ دندان به دو صورت در مطب و در منزل انجام میشود
بلیچینگ یا سفید کردن دندان
روش بلیچینگ در مطب
این روش توسط دندانپزشک انجام میشود و نتایج آن سریعتر و قابل پیشبینیتر هستند. در این روش، ابتدا لثهها با یک بند پلاستیکی یا ژل محافظت میشوند تا از تماس با ماده بلیچ جلوگیری شود. سپس ماده بلیچ با غلظت بالا (حدود ۳۵ تا ۴۵ درصد) بر روی سطح دندانها قرار میگیرد و با یک نور خاص (معمولا لیزر) فعال میشود. نور باعث افزایش سرعت واکنش شیمیایی ماده بلیچ با رنگدانههای دندان میشود و تغییر رنگ سریعتر اتفاق میافتد. این فرآیند به طور متوسط ۱۵ تا ۲۰ دقیقه طول میکشد و بسته به درجه تیرگی دندان، ۲ تا ۴ جلسه نیاز است.
روش بلیچینگ در منزل
این روش توسط خود فرد با رعایت دستورالعمل دندانپزشک اجرا میشود. در این روش، ابتدا دندانپزشک ژل سفید کننده را به فرد تحویل میدهد و سپس چارچوب پلاستیک شخص ساز را برای بیمار تهیه و موارد لازم را به فرد آموزش می دهد.
درمان ریشه یا عصبکشی، فرآیندی است که طی آن بخش داخلی دندان که شامل عصب و پالپ آسیبدیده است، برداشته شده و فضای داخل دندان تمیز، ضدعفونی و سپس با مواد مخصوص پر میشود. این روش معمولاً در مواردی که دندان دچار پوسیدگی شدید، عفونت یا ضربه شده باشد، انجام میشود تا از کشیدن دندان جلوگیری شود و دندان برای سالهای طولانی حفظ گردد. در صورتی که این درمان به درستی انجام نشود، میتواند منجر به درد مداوم، عفونتهای مکرر و حتی از بین رفتن دندان شود. به همین دلیل، دقت بالا در انجام این درمان اهمیت زیادی دارد.
درمان ریشه چیست؟
نقش میکروسکوپ در درمان ریشه
افزایش دقت و وضوح دید
کاهش میزان خطاهای درمانی
افزایش میزان موفقیت درمان
کاهش درد و ناراحتی بیمار
تشخیص ترکها و آسیبهای مخفی دندان
بهبود درمانهای مجدد ریشه
دندانها نقش مهمی در سلامت کلی بدن و کیفیت زندگی ما دارند. برخی از مشکلات دندانی با روشهای سادهتر مانند پر کردن یا جرمگیری قابل درمان هستند، اما در مواردی نیاز به جراحی دندانپزشکی وجود دارد. جراحیهای دندانپزشکی برای درمان مشکلاتی مانند پوسیدگی شدید، عفونت، بیماریهای لثه و اصلاح ناهنجاریهای فک و دندان استفاده میشوند.
راهنمای جامع
جراحیهای
دندانپزشکی
انواع جراحیهای دندانپزشکی
کشیدن دندان
ایمپلنت دندان
جراحی لثه
عصبکشی (درمان ریشه)
جراحی فک
جراحی سینوس لیفت
جراحی پیوند استخوان
جراحی لثه یکی از روشهای درمانی مؤثر برای رفع مشکلات مرتبط با لثه و استخوان پیرامون دندانها است. این نوع جراحی معمولاً به منظور درمان بیماریهای لثه مانند پریودنتیت (التهاب شدید لثه) انجام میشود. روشهای مختلف این جراحی شامل برداشتن بافتهای عفونی، پیوند لثه، و بازسازی استخوان است. درمان بیماریهای لثه در مراحل ابتدایی از اهمیت ویژهای برخوردار است، چرا که در غیر این صورت ممکن است منجر به تحلیل استخوان و حتی از دست رفتن دندان شود.
جراحی لثه چیست؟
جراحی زیبایی لثه، که به آن کانتورینگ لثه نیز گفته میشود، برای اصلاح ظاهر لثه و ایجاد تناسب بین لثه و دندانها انجام میشود. این نوع جراحی مخصوصاً برای افرادی که دارای لبخند لثهای هستند (یعنی مقدار زیادی از لثه هنگام لبخند نمایان میشود) بسیار مؤثر است.
جراحی زیبایی لثه
(استتیک)
انواع جراحی زیبایی لثه
کانتورینگ لثه (اصلاح خط لثه)
افزایش طول تاج دندان
پیوند لثه برای بهبود ظاهر
جراحی اصلاح لبخند لثهای
لیزر درمانی زیبایی
لمینیت یک لایهی نازک از موادی مانند پرسلن یا کامپوزیت است که روی سطح جلویی دندان قرار میگیرد. این لایه باعث میشود دندانها صافتر و زیباتر به نظر برسند. لمینیتهای پرسلنی معمولاً درخشندگی بیشتری دارند و دوام آنها بیشتر است، در حالی که لمینیتهای کامپوزیتی مقرونبهصرفهتر هستند و سریعتر نصب میشوند. برای نصب لمینیت، دندانپزشک باید دقت زیادی داشته باشد تا نتیجهی کار طبیعی و ماندگار باشد. همچنین، انتخاب رنگ و ضخامت مناسب لمینیت بسیار مهم است تا با سایر دندانهای بیمار هماهنگ باشد.
لمینیت دندان چیست؟
ونیر کامپوزیت یک لایه نازک از مواد رزینی است که روی سطح دندان قرار میگیرد تا ظاهر آن را بهبود بخشد. این روش برای ترمیم دندانهای شکسته، بدرنگ، کج و دارای فاصله به کار میرود. برخلاف لمینیت سرامیکی، در بیشتر موارد نیازی به تراشیدن مینای دندان ندارد، بنابراین به عنوان یک روش محافظهکارانه در دندانپزشکی محسوب میشود.
ونیر کامپوزیت چیست؟
تفاوت
لمینیت
با
ونیر کامپوزیت
جنس و مواد تشکیلدهنده
میزان تراش دندان
دوام و طول عمر
مدت زمان درمان
هزینه
قالبگیری دیجیتال یک روش پیشرفته برای اندازهگیری دقیق دندانها و لثهها است که با استفاده از اسکنرهای داخل دهانی، یک مدل سهبعدی دقیق از دهان بیمار ایجاد میکند. این فناوری جایگزین روشهای قدیمی شده که اغلب باعث ناراحتی بیماران میشد و دقت کافی نداشت.